โรคกระดูกพรุนคืออะไร

“ภัยเงียบในตัว ที่ป้องกันได้”
โรคกระดูกพรุนคืออะไร
คือภาวะที่ความหนาแน่นของกระดูกลดลง และโครงสร้างของกระดูกเสื่อมลง ทําให้กระดูก เปราะบาง และมีโอกาสหักหรือยุบตัวได้ง่าย พบบ่อยในผู้สูงอายุหรือหญิงวัยหมดประจําเดือน


บริเวณกระดูกสะโพกและกระดูกสันหลัง
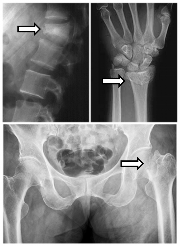
โรคกระดูกพรุน อันตรายอย่างไร
ภาวะแทรกซ้อนที่อันตรายที่สุดคือกระดูกหัก บริเวณที่พบบ่อย ได้แก่ กระดูกสันหลัง สะโพก และข้อมือ กระดูกหักจะทําให้เกิดอาการปวดมากจนไม่สามารถใช้งานต่อได้ ต้องพัก รักษาตัวเป็นเวลานานทําให้เกิดภาวะแทรกซ้อนต่างๆ เช่น ติดเชื้อในทางเดินปัสสาวะ ปอด อักเสบ แผลกดทับ ภาวะโรคหัวใจและหลอดเลือด เป็นเหตุให้สุขภาพแย่ลงอย่างรวดเร็ว อาจ เป็นอันตรายต่อชีวิตได้

มีปัจจัยเสี่ยงอะไรบ้าง
- ผู้สูงอายุ
- ผู้หญิงวัยหมดประจําเดือนหรือตัดรังไข่ออกทั้ง 2 ข้าง
- การกินอาหารที่มีแคลเซียมน้อย
- กรรมพันธุ์ มีคนในครอบครัวเป็นโรคนี้
- เชื้อชาติ พบมากในคนผิวขาวหรือชาวเอเชีย
- สูบบุหรี่ ดื่มแอลกอฮอล์และกาแฟปริมาณมาก
- ขาดการออกกําลังกาย
- น้ำหนักตัวน้อย รูปร่างผอม
- โรคบางอย่าง เช่น เบาหวาน ขาดวิตามินดี โรคไทรอยด์ โรคข้ออักเสบรูมาตอยด์
- ยาบางชนิด เช่น สเตียรอยด์ ยากันชัก ยาขับปัสสาวะ
อาการของโรคกระดูกพรุน
ระยะแรกมักไม่มีอาการ แต่เมื่อเป็นมากขึ้นอาจมีอาการปวดหลังเรื้อรัง หลังโก่งค่อม ความสูง ลดลง กระดูกหักง่ายกว่าคนปกติแม้ไม่มีอุบัติเหตุที่รุนแรง

จากการยุบตัวของกระดูกสันหลัง
การวินิจฉัย
ผู้ที่มีปัจจัยเสี่ยงและสงสัยว่าเป็นโรคกระดูกพรุนควรปรึกษาแพทย์ และตรวจวัดความ หนาแน่นของกระดูกโดยใช้เครื่องวัดมวลกระดูกเพื่อการวินิจฉัยที่ถูกต้อง
การป้องกันโรคกระดูกพรุน
ในคนปกติ หลังอายุ 40 ปี ความหนาแน่นของเนื้อกระดูกจะลดลง ดังนั้นจึงควรเสริมสร้างให้ เนื้อกระดูกแข็งแรง โดยปฏิบัติดังนี้
- กินอาหารให้ครบ 5 หมู่ อาหารที่มีแคลเซียมสูง ได้แก่ นมและผลิตภัณฑ์จากนม กุ้งแห้ง กะปิ ปลาเล็กที่กินได้ทั้งก้าง งาดํา ถั่วต่างๆ เต้าหู้ ผักใบเขียวเช่น ผักโขม คะน้า ใบชะพลู ใบยอ
- ลดอาหารที่มีไขมันมาก เนื่องจากไขมันจะขัดขวางการดูดซึมแคลเซียม
- ออกกําลังกายอย่างถูกวิธี สม่ำเสมอ เหมาะสมกับสภาพร่างกาย เพศและวัย เช่น เดิน วิ่ง เหยาะๆ รํามวยจีน เต้นรํา
- ควรงดสูบบุหรี่ งดเครื่องดื่มที่มีแอลกอฮอล์ และคาเฟอีน
- ไม่ควรซื้อยากินเอง เพราะยาบางชนิดทําให้การดูดซึมแคลเซียมลดลง เช่น ยารักษาไทรอยด์ ยาสเตียรอยด์ ยาขับปัสสาวะ
- ตรวจสุขภาพเป็นประจําทุกปี
การรักษาด้วยยา
ปัจจุบันมียารักษาโรคกระดูกพรุน 3 กลุ่ม ได้แก่
- ยาช่วยลดการทําลายกระดูก เช่น แคลเซียม บิสฟอตฟาเนต ฮอร์โมนแคลซิโตนิน
- ยาช่วยกระตุ้นการสร้างกระดูก เช่น ฮอร์โมนพาราไทรอยด์เทอริพาราไทด์
- ยาที่ช่วยทั้งกระตุ้นการสร้างและลดการทําลายกระดูก เช่น สตรอนเทียมรานิเลต
การใช้ยาควรปรึกษาแพทย์อย่างเคร่งครัด